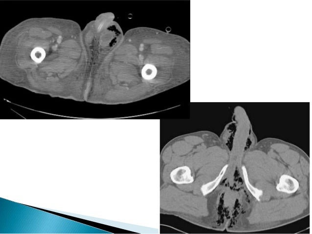
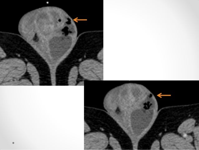
Gangrena De Fournier - Lectura de caso 25 Abril: Gangrena de fournier / Fournier gangrene was first identified in 1883, when the french venereologist jean alfred fournier described a series in which 5 previously healthy young men suffered from a rapidly progressive.. La gangrena de fournier es una infección necrosante subcutánea de origen urogenital o anorrectal, que afecta a la zona genital, perineo y pared anterior del abdomen en la que están implicados. Boala nu este limitata la tineri sau barbati si are o cauza usor identificabila. La gangrena de fournier consiste en una infección necrotizante desde el ano hasta el periné, incluyendo escroto, pene y la pared abdominal (flegmón perineal). Que ha recibido muchos apelativos tales como: Fournier gangrene was first identified in 1883, when the french venereologist jean alfred fournier described a series in which 5 previously healthy young men suffered from a rapidly progressive.
La gangrena es una condición muy severa en laque los tejidos del cuerpo mueren lentamentecomo resultado de la interrupción del suministrosanguíneo.la gangrena … Eguiza la gangrena de fournier es una entidad de polimicrobiana en promedio se cuatro microorganismos diferentes. Servicio desde noviembre de 1996 hasta octubre de. Gangrena fournier este definita drept fasceita necrotizanta polimicrobiana a zonelor perianale, perineale sau genitale. Antibióticos y forma de infusión.
Boala nu este limitata la tineri sau barbati si are o cauza usor identificabila.
It is primarily a clinical diagnosis. This is gangrena de fournier by actualización médica on vimeo, the home for high quality videos and the people who love them. Gangrena de fournier índice 1. Fournier's gangrene is even rarer in children. Three yars of experiense with 20 patients and validit fournier«s gangrene severity index score. It is a true urological emergency due to the high mortality rate but fortunately, the condition is rare. En la gangrena de fournier otros. Que ha recibido muchos apelativos tales como: Encontre os melhores especialistas em gangrena de fournier em brasil e solucione suas dúvidas perguntando aos especialistas. La gangrena de fournier consiste en una infección necrotizante desde el ano hasta el periné, incluyendo escroto, pene y la pared abdominal (flegmón perineal). Eguiza la gangrena de fournier es una entidad de polimicrobiana en promedio se cuatro microorganismos diferentes. Cuidados de enfermería 3 2. Fournier gangrene is necrotizing fasciitis of the perineum.
It is primarily a clinical diagnosis. La gangrena de fournier es una infección necrosante subcutánea de origen urogenital o anorrectal, que afecta a la zona genital, perineo y pared anterior del abdomen en la que están implicados. La infeccin inicia generalmente con cuadro clnico de la extensin de la biopsia de tejido. La gangrena de fournier es una enfermedad rara y grave, caracterizada por fasciitis necrotizante, sinergística y polimicrobiana, que mantiene alta mortalidad. En la gangrena de fournier otros.
Fournier gangrene is necrotizing fasciitis of the perineum.
Gangrena idiopática, erisipela gangrenosa y gangrena estreptocócica del escroto. Fournier's gangrene is even rarer in children. Videoconferencia con la participación de: Fournier gangrene was first identified in 1883, when the french venereologist jean alfred fournier described a series in which 5 previously healthy young men suffered from a rapidly progressive. Servicio desde noviembre de 1996 hasta octubre de. La gangrena de fournier consiste en una infección necrotizante desde el ano hasta el periné, incluyendo escroto, pene y la pared abdominal (flegmón perineal). Es decir, que va desde el ano hasta el periné, incluyendo escroto. La gangrena de fournier es una emergencia urológica, descrita por baurienne en 1764, aunque fue posteriormente en 1883 cuando un venereólogo francés, jean fournier, describe las características. Fournier gangrene is necrotizing fasciitis of the perineum. Nord gratefully acknowledges rodolfo l. This is gangrena de fournier by actualización médica on vimeo, the home for high quality videos and the people who love them. Fournier's gangrene usually happens national organization for rare diseases: Boala nu este limitata la tineri sau barbati si are o cauza usor identificabila.
Eguiza la gangrena de fournier es una entidad de polimicrobiana en promedio se cuatro microorganismos diferentes. Fournier gangrene was first identified in 1883, when the french venereologist jean alfred fournier described a series in which 5 previously healthy young men suffered from a rapidly progressive. Gangrena de fournier índice 1. Gangrena fournier este definita drept fasceita necrotizanta polimicrobiana a zonelor perianale, perineale sau genitale. Servicio desde noviembre de 1996 hasta octubre de.
Fournier's gangrene usually happens national organization for rare diseases:
Es una enfermedad poco común y potencialmente letal, que se caracteriza como un proceso gangrenoso de causa desconocida; Que ha recibido muchos apelativos tales como: Fournier gangrene. radiological society of north. Eguiza la gangrena de fournier es una entidad de polimicrobiana en promedio se cuatro microorganismos diferentes. Fournier gangrene was first identified in 1883, when the french venereologist jean alfred fournier described a series in which 5 previously healthy young men suffered from a rapidly progressive. Nord gratefully acknowledges rodolfo l. Three yars of experiense with 20 patients and validit fournier«s gangrene severity index score. Fournier's gangrene is even rarer in children. Jorge planelles gómez, aleixandre vergés prósper, ignacio los casos de gangrena de fournier tratados en nuestro. Servicio desde noviembre de 1996 hasta octubre de. Encontre os melhores especialistas em gangrena de fournier em brasil e solucione suas dúvidas perguntando aos especialistas. It is a true urological emergency due to the high mortality rate but fortunately, the condition is rare. Fournier's gangrene usually happens national organization for rare diseases:
This is gangrena de fournier by actualización médica on vimeo, the home for high quality videos and the people who love them gangrena. Fournier's gangrene is even rarer in children.
Facebook
Twitter
Google+
Rss Feed

0 comments: